Doktorları şaşırtan görüntü: Tenyalar organlarını delik deşik etti
Doktorları şaşırtan görüntü: Tenyalar organlarını delik deşik etti
Doktorları şaşırtan görüntü: Tenyalar organlarını delik deşik etti
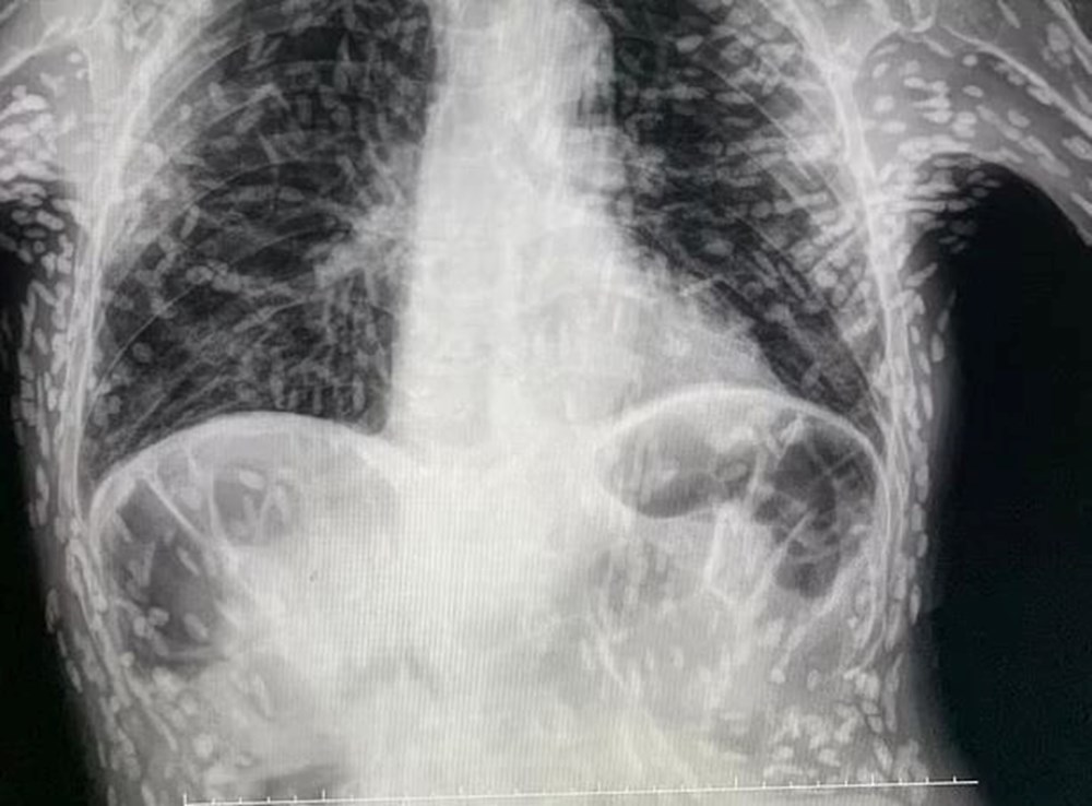
Brezilyalı doktorlar, kendilerini şaşırtan bir vakanın röntgen görüntülerini paylaştı. İyileşmeyen öksürük ve baş ağrısı şikayeti olan hastanın uzun bir zamandır tenyalar tarafından tarafından organlarının delik deşik edildiği ortaya çıktı. Bilim insanları, parazit hastalıkların ölümcül olabileceğini belirterek, gıda hijyenine dikkat edilmesini istedi.

Brezilyalı doktorlar, kendilerine öksürük ve baş ağrısı şikayetiyle gelen bir hastanın vücudunun yüzlerce tenyaya ev sahipleri yaptığını ortaya çıkardı.
SAĞLIK HABERLERİ
Akciğer kanseri riski için basit parmak testi: Schamroth Testi nasıl yapılır?
Dünyada ilk kez: Ölümcül genetik bozukluğu olan bebeğe rahimdeyken beyin ameliyatı yapıldı
ABD'den dünyanın ilk RSV aşısına onay: Arexvy nedir? Arexvy nasıl kullanılır? Arexvy şiddetli RSV'ye karşı ne kadar etkili?
Alzheimer tedavisinde umut veren gelişme: Hastalığı 3’te bir oranında yavaşlatan ilaç geliştirildi

Bir doktorun Twitter'da paylaştığı röntgen, her biri bir parazitin yerleşmiş kalıntılarını temsil eden yüzlerce parlak lekeyi gösterdi.

SİSTİSERKOZ NEDİR?
Sistiserkoz olarak adlandırılan durum, normalde bağırsaklarda yaşayan bir tenya türünün larvalarının kas veya beyin gibi dokulara girmesiyle ortaya çıkıyor. İnsanlar, başta et ve yıkanmamış meyve ve sevze olmak üzere kontamine yiyecekleri kazara yutarak bu tenyalar ile enfekte oluyor. Larvalar, deriden hissedilebilen kistler şeklinde sert yumrular oluşturuyor.

Bununla birlikte, tenyalar hızla öldüğü için durum genellikle zararsız olarak kabul ediliyor. Ancak ölü tenyalar geride bıraktığı kistler ölüme varabilen sağlık sorunlarına neden olabiliyor. Kistler akciğerlerinize yapıştığında ise öksürük ve göğüs ağrısı oluşuyor.

Diğer taraftan, beyinde veya omurilikte gelişen kistler nörosistiseroz adı verilen bir duruma yol açabiliyor. Nörosistiseroz, tenya enfeksiyonunun en ciddi şeklini oluşturuyor ve dünya genelinde epilepsi ve nöbetlerin yaygın bir nedeni olarak kabul ediliyor.

Görüntüyü paylaşan Brezilya'daki Botucatu'daki Hospital das Clínicas'tan Dr. Vitor Borin de Souza, hastanın öksürük şikayetiyle geldiğini ve durumun MRI ile rontgen taramalarında anlaşıldığını söyledi.
De Souza, "Bu vakalarda kistleri çıkarmak için genellikle ameliyat gerekir. Kistler, tenya yumurtaları ile ilk enfeksiyondan sadece aylar veya yıllar sonra gelişebilir." dedi.

HİNDİSTAN'DA BİR GENÇ HAYATINI KAYBETTİ
Öte yandan, geçen ay, Hindistan'da bir genç tenyaların beynine yumurta bırakması ve bu durumun onu bilinçsiz bırakması nedeniyle hayatını kaybetmişti.

Hindistan, Faridabad'daki ESIC Tıp Fakültesi ve Hastanesi'ndeki doktorlar, 18 yaşındaki gencin beyninin dış tabakasına gömülü parazit kistleri buldu.
Bu durumda doktorlar, tenya kistlerinin sayısı nedeniyle tipik olarak kullanılan anti-paraziter ilaçların bir seçenek olmadığını söyledi. Ciddi vakalarda, ilaçlar beyindeki iltihaplanmayı daha da kötüleştirerek durumu daha ölümcül hale getirebiliyor.
Yorumunuz başarıyla alındı, inceleme ardından en kısa sürede yayına alınacaktır.